Pertinence d’un substitut osseux sur mesure dans le cadre d’un délabrement du maxillaire supérieur
Baudoin Lindas, concepteur produit
Dr Renaud Breheret, chirurgien ORL, CHU d’Angers (49)
Introduction
Notre laboratoire s’est spécialisé dans la prothèse maxillo-faciale et s’attache à développer les nouvelles technologies comme support de conception et de fabrication de ces dispositifs.
Dans le cadre de notre collaboration hospitalière, nous a été adressé un patient : un homme de 45 ans fortement mutilé suite au retrait d’une tumeur de la face.
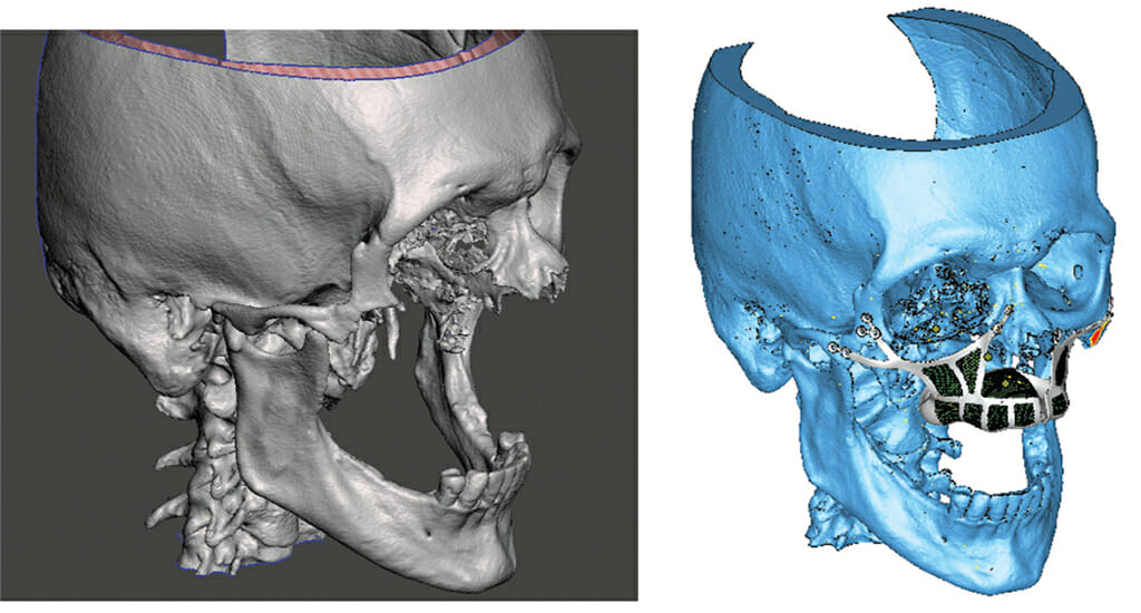
Au moment de la prise en charge le patient avait été opéré depuis plusieurs mois et stabilisé. Nous constatons l’absence des os et des cartilages du maxillaire supérieur ainsi que du plancher orbitaire droit.
Une balle obturatrice avait été placée dans la béance afin d’éviter l’effondrement du massif facial.
En résultait une incapacité du patient à se nourrir, boire (sonde gastrique) et parler.
Une chirurgie reconstructrice par autogreffe a été envisagée.
C’est finalement le choix d’un substitut osseux sur mesure qui a été retenu.
Cette solution a permis de lui apporter rapidement une nette amélioration de sa qualité de vie.
Conception
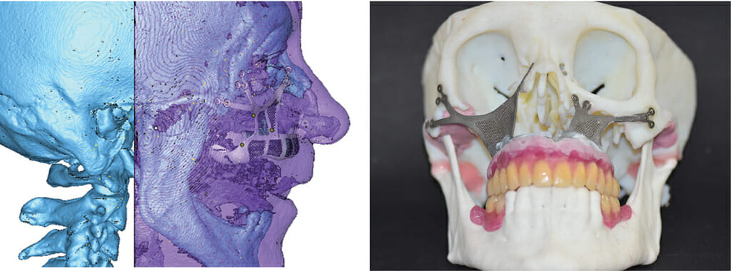
Toute la pertinence de la conception repose sur la qualité de l’imagerie médicale qui nous est fournie. L’ensemble de ces images sont traitées afin d’obtenir des modèles volumiques. Ils permettent à l’équipe chirurgicale et prothétique de mieux comprendre la situation et de dessiner le substitut en prenant en compte l’ensemble des contraintes (mécaniques, médicales, organiques, chirurgicales…)
La planification du geste opératoire, la solidité des pièces, l’accès au site et l’entretien des dispositifs sont autant de paramètres qui sont analysés, testés puis validés.

Explication des choix prothétiques
Le substitut osseux métallique va s’astreindre à reproduire la forme anatomique du maxillaire supérieur dans un environnement atypique, pour permettre la réalisation d’un appareillage dentaire fonctionnel.
Celui-ci devra répondre au besoin physiologique et psychologique (esthétique et confortable) du patient.
A cette fin, nous avons tenu compte des données spécifiques d’une réalisation d’une prothèse amovible pour un édenté total.


Avec comme seul référence les dents mandibulaires antérieures restantes, le plan d’occlusion nous a été guidé par une position en relation centrée en positionnant les condyles en buté des cavités glénoïdes. Un mouvement d’ouverture pure (sans propulsion) a pu être reproduit.
Restait à déterminer la dimension verticale d’occlusion, nous avons opté pour la conception de l’égalité entre les trois étages de la face.
Mais dans le cas présent nos contraintes nous permettent une certaine latitude et nous opterons pour une dimension verticale de confort.
Prototype
La perte d’information concernant la dimension verticale et la projection sagittale a nécessité pour le laboratoire un contrôle physique des dispositifs sur site incluant les futures prothèses dentaires.
Pose
Au court d’une opération chirurgicale de 2 heures et avec l’aide de 2 guides chirurgicaux (un externe et un de maintien de 2 hémi-plaques) Le substitut osseux a été implanté par voie buccale sur 12 vis de 4 mm. Elles répartissent les forces masticatoires sur les os de qualité restant : pourtour des planchers orbitaires et des os zygomatiques.
Un obturateur immédiat amovible a été placé le temps de l’ostéo-intégration des vis (environ 2 mois). Il a permis le retrait de la sonde gastrique après 48h. Le patient a ainsi retrouvé l’usage de la parole et la capacité de boire et manger des aliments mous.
2 mois plus tard ont été réalisés un partiel bas et un complet haut en polyamide nylon* permettant une bonne adaptation sur l’arche maxillaire métallique.

Participation des sociétés 3D Medlab, Renishaw et Steco
* Système TCS du Laboratoire Dreux (75 – Paris)
Last modified: 22 novembre 2018



